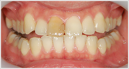
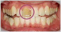
右上1番の歯の神経が死んでしまっているために変色しています。
レントゲンで確認すると、歯の根っこの先に膿がたまってしまっていました。
オールセラミック症例
オールセラミック症例(右前歯だけ色が変わってしまっている)
【治療前

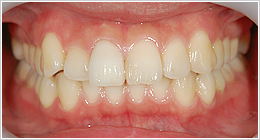
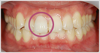
【治療後】

| 治療 | オールセラミック |
|---|---|
| 患者様の年齢 | 30代女性 |
| 初診時の状態 | 当医院の患者様の紹介で来院されました。 右前歯だけ色が変わってしまい、気になっているとのこと。 |
| 治療内容 | 歯の神経が死んでしまっているために変色し、根っこの先には膿がたまっていました。 仮歯に置き換え、根っこの治療してからオールセラミックのかぶせ物を装着しました。 |
| 治療費 | ファイバーコア1本/20,000円(税別) オールセラミック1歯/130,000円(税別) |
治療の内容
変色した歯を仮歯に置き換え、歯の中をきれいにする根っこの治療をスタートしました。
根っこの治療終了後は、ファイバーコアという土台を装着し、オールセラミックのかぶせ物を装着ました。
