当院のインプラント症例
インプラント治療 70代女性
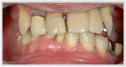
主訴
上の前歯がグラグラで、入れ歯の金具が食い込んで自分で外すことができなくなってしまったため来院されました。
「入れ歯を外すと歯まで抜けてしまいそう」 とおっしゃっていました。
歯茎からは自然と膿が流れだし、明らかな歯周病の状態でした。上の歯は右前の2本を残し、他はすべて抜歯、下も虫歯で抜かなければいけない歯が1本ありました。
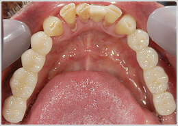
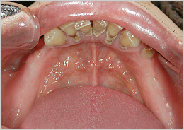
術前後の口腔内写真
治療前
治療後
| 治療費 | インプラント6本のブリッジ/2,860,000円(税込) |
|---|---|
| 治療を担当した歯科医師からのコメント | この患者様は色々な理由から、あまり外出をせずに家の中で過ごすことが多く「このままではいけない」と思い、その第一歩として「歯を治そう」と来院されたそうです。 来院前はインプラント治療に対しての不安があったそうですが、治療前のお話を繰り返しさせていただくことによって患者様も治療に対しての不安がなくなっていきました。 治療を決断されて、帰られる時の受付で「先生、頑張ってやっていきます。これからよろしくお願いします。」と言われた時は、その患者様が今までされたことのない、晴れやかな、明るい表情を見せてくださり、前向きに生きようとする方の強い力を感じました。 |
インプラント無料カウンセリング実施中!
「インプラント」でお悩みのことは何でもお気軽にご相談ください。
奥歯のインプラント治療 60代男性
主訴
歯医者に行くのがあまり好きではなく、虫歯や歯周病を長く放置していました。
喫煙の影響もあって歯周病が進み、歯がグラグラで噛めない状態でした。
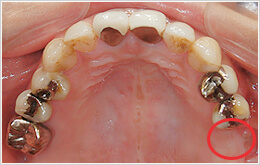
術前後の口腔内写真
治療前
治療後
| 治療費 | あごの骨を増やす治療(GBR)/55,000円(税込)(※骨の欠損量により変動します) インプラント6本/2,464,000円(税込) |
|---|---|
| 治療を担当した歯科医師からのコメント | 奥様と一緒に来院され「今回はすべて治るまでしっかり治療を続けたい。この治療を機に禁煙をする」と話してくださり、奥歯にインプラント治療をおこないました。 |
インプラント無料カウンセリング実施中!
「インプラント」でお悩みのことは何でもお気軽にご相談ください。
左上奥歯のインプラント 60代男性
主訴
かかりつけの歯科医院で、左上の奥歯を抜歯することになりました。
その医院でもインプラント治療をしていたそうですが「インプラントをするのであれば、専門のクリニックで手術したい」というご希望で、当院におみえになりました。
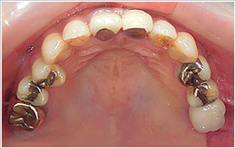
術前後の口腔内写真
治療前
治療後
| 治療費 | サイナスリフト/275,000円(税込) インプラント/550,000円(税込) |
|---|---|
| 治療を担当した歯科医師からのコメント | 左上の副鼻腔(骨の中の空洞)があるために、十分な量の骨がなかったため、骨を同時に増やす「サイナスリフト」を同時に行い、最終的なセラミックのかぶせ物を装着しました。 |
インプラント無料カウンセリング実施中!
「インプラント」でお悩みのことは何でもお気軽にご相談ください。


